Лікування тривало два роки: у Львові врятували трирічну дитину, яка випила засіб для видалення жиру
Віртуальний меморіал загиблих борців за українську незалежність: вшануйте Героїв хвилиною вашої уваги!

У Львові лікарі врятували трирічну дитину, яка випадково випила засіб для видалення жиру. Складне лікування тривало довгих 2 роки.
Зараз малеча почуває себе добре та може самостійно їсти. Історією зі щасливим кінцем поділилися на Faceboook-сторінці Центру дитячої медицини. Лікарня "Охматдит"
"Команда торакальних хірургів нашого Центру врятувала 3-річну дитину, яка випадково випила хімічну речовину і отримала опік стравоходу. Лікування тривало впродовж 2-х років", – йдеться у повідомленні.
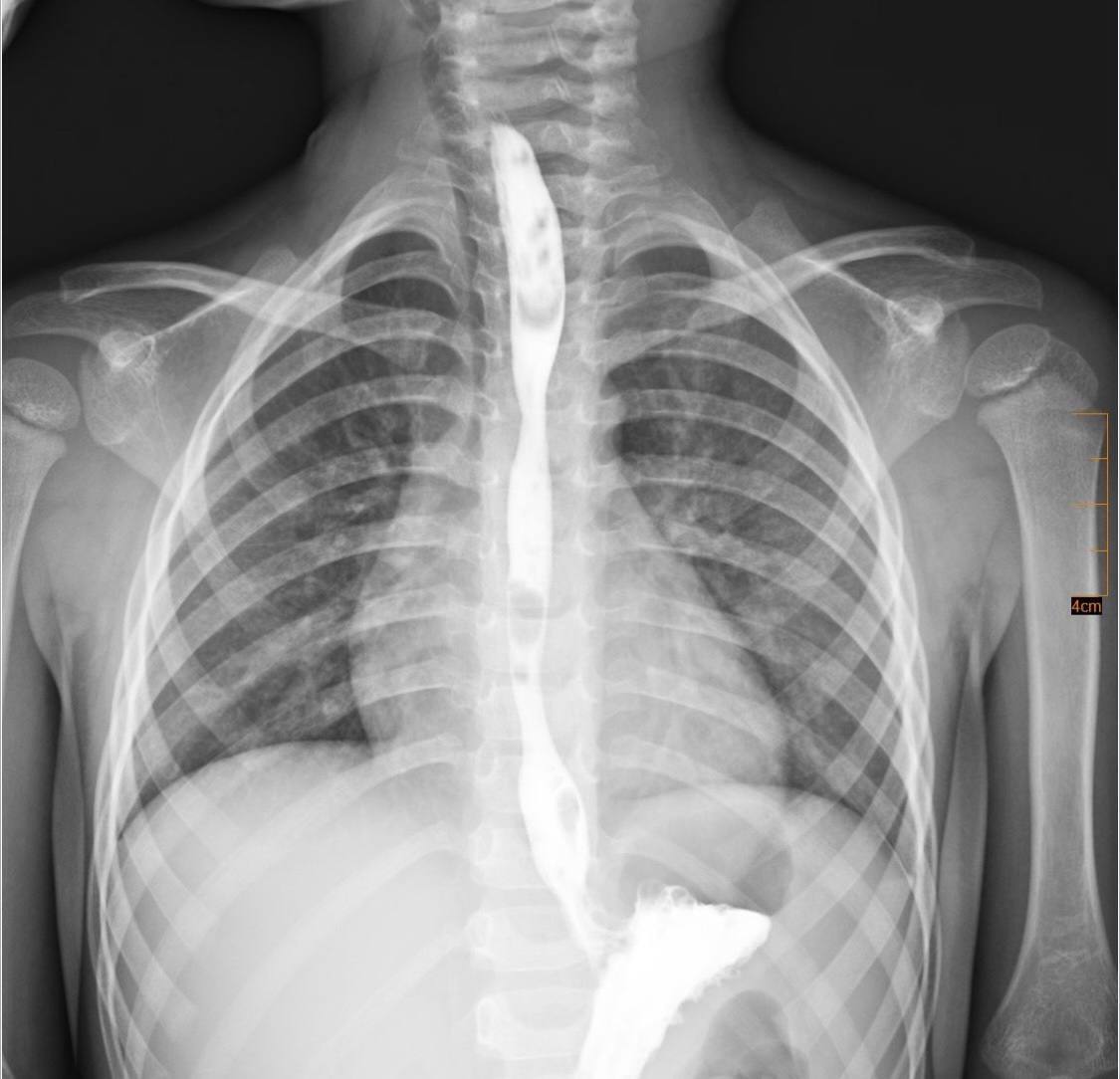
Історія лікування
Хімічна речовина, що потрапила до організму дитини, спричинила тяжкий опік стравоходу. На момент госпіталізації її стан був критичним: малеча не могла самостійно їсти, відчувала сильний біль, мала слинотечу та блювання. Її терміново доправили до відділення інтенсивної терапії.
Через серйозність ураження та неможливість ентерального харчування команда торакальних хірургів провела операцію з встановлення гастростоми. Це дало змогу забезпечити повноцінне харчування без навантаження на пошкоджений стравохід і стабілізувати стан пацієнта.
Згодом у дитини розвинувся критичний стеноз стравоходу – значне звуження просвіту, яке повністю унеможливило прийом їжі природним шляхом.
"Після ретельного обговорення мультидисциплінарною командою було ухвалено рішення про проведення серії балонних дилатацій стравоходу – малоінвазивних ендоскопічних втручань, під час яких звужену ділянку поступово розширюють спеціальним балоном без виконання розрізів", – зазначено у повідомленні..
За словами керівника Клініки торакальної хірургії та реконструктивної урології у дітей лікарні "Охматдит" Центру дитячої медицини Олега Леніва, це була надзвичайно складна та тривала робота, але завдяки професійним діям медикам вдалося уникнути великої травматичної операції.
"На сьогодні наш маленький пацієнт їсть самостійно, активно росте, добре почувається та щодня тішить усіх своєю усмішкою", – зазначено у повідомленні.
Медики закликали батьків подбати про безпеку дітей, зокрема зберігати побутову хімію в місцях, недоступних для малечі.
Нагадаємо, на Львівщині 37-річний чоловік під час заготівлі дров ледь не втратив руку, коли бензопила вислизнула з його рук. Інструмент майже повністю перерізав ліве передпліччя, ледь не позбавивши його життя. Хірурги лікарні святого Пантелеймона дивом врятували руку чоловіка.
Як писав OBOZ.UA, пенсіонер зі Львівщини ледь не помер через стороннє тіло у дванадцятипалій кишці, ним виявилася персикова кісточка. Хірурги успішно видалили її малоінвазивним методом та врятували життя чоловіка.
Тільки перевірена інформація в нас у Telegram-каналі OBOZ.UA та у Viber. Не ведіться на фейки!
Матеріали на цьому сайті рекомендовані для загального інформаційного використання й не призначені для встановлення діагнозу або самостійного лікування. Медичні експерти OBOZ.UA гарантують, що весь контент, який ми розміщуємо, публікується й відповідає найвищим медичним стандартам. Наша мета - максимально якісно інформувати читачів про симптоми, причини та методи діагностики захворювань. Закликаємо не займатися самолікуванням, для діагностики хвороб та визначення шляхів їх радимо звертатися за консультацією лікарів.











